
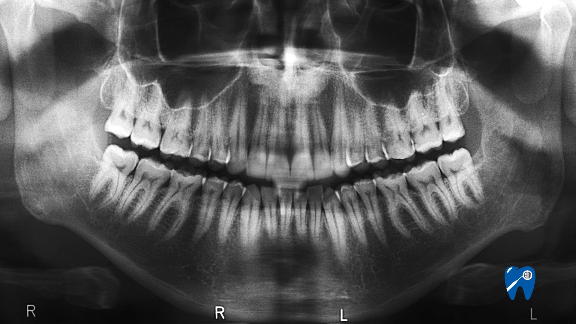
Zdjęcie panoramiczne zębów to jedno z najczęściej wykonywanych badań w diagnostyce stomatologicznej. Pozwala zobaczyć cały układ szczęki i żuchwy, korzenie zębów, zatoki, stawy skroniowo-żuchwowe oraz ewentualne zmiany zapalne. Pacjenci często zwlekają z jego wykonaniem, bo nie czują bólu lub liczą, że problem „sam przejdzie”. Tymczasem wiele schorzeń rozwija się bezobjawowo. Kiedy więc warto zrobić zdjęcie panoramiczne zębów od razu, zamiast czekać, aż ból się nasili?
Wskazania do OPG
Zdjęcie panoramiczne zębów, czyli pantomogram (OPG), pozwala lekarzowi ocenić stan całego uzębienia i okolicznych tkanek twardych. To badanie zlecane nie tylko wtedy, gdy boli, ale także profilaktycznie – raz na 2 lata. Najczęstsze wskazania to planowanie usunięcia ósemek, zwłaszcza zatrzymanych lub wyrzynających się w sposób nieprawidłowy. Dzięki OPG lekarz dentysta może dokładnie zobaczyć, jak blisko korzenie ósemek znajdują się nerwu żuchwowego i zaplanować bezpieczne usunięcie z minimalnym ryzykiem powikłań.
Zdjęcie panoramiczne zębów jest też konieczne przy planowaniu implantów. Umożliwia ocenę ilości i jakości kości, położenie zatok szczękowych i sąsiednich struktur. Pomaga też przy przewlekłym bólu, gdy trudno wskazać źródło – na przykład w sytuacji, gdy pacjent odczuwa dyskomfort, ale punktowe RTG nie pokazuje przyczyny. Wtedy pantomogram ujawnia zmiany okołowierzchołkowe, torbiele lub zęby zatrzymane.

Pantomogram i CBCT w Rudzie Śląskiej – diagnostyka obrazowa
W naszym gabinecie w Rudzie Śląskiej nowoczesna diagnostyka obrazowa pozwala precyzyjnie znaleźć przyczynę bólu i skutecznie zaplanować leczenie. Umów się na konsultację, by szybko odzyskać komfort i zdrowy uśmiech.
Dentysta często zleca wykonanie pantomogramu również przed leczeniem ortodontycznym, przed większą odbudową protetyczną albo jako badanie przeglądowe. Pozwala to wykryć ubytki, stany zapalne i wczesne zmiany, zanim pojawią się objawy.
OPG czy CBCT?
Choć zdjęcie panoramiczne zębów daje bardzo szeroki obraz jamy ustnej, ma swoje ograniczenia. Pantomogram jest obrazem dwuwymiarowym, więc nie pokazuje głębokości struktur i może nie oddawać rzeczywistych odległości. W takich sytuacjach lekarz może zalecić CBCT (tomografię stożkową), która daje trójwymiarowy, przestrzenny obraz i pozwala precyzyjnie ocenić np. przebieg kanałów korzeniowych, położenie implantu czy zatoki szczękowe.
CBCT wykonuje się zwykle przed planowanym zabiegiem chirurgicznym, trudnym leczeniem endodontycznym lub wszczepieniem implantów. Zdjęcie panoramiczne zębów nadal jednak pozostaje podstawowym badaniem kontrolnym – tańszym, szybszym i wystarczającym w większości przypadków. Tomografia to badanie uzupełniające, nie zastępujące OPG, a decyzję o jej wykonaniu zawsze podejmuje stomatolog.
Przeczytaj także:

RTG stomatologiczne – co można dzięki niemu zobaczyć?
Dowiedz się, dlaczego RTG stomatologiczne to klucz do skutecznej diagnostyki i jak jedno zdjęcie może zmienić plan leczenia Twoich zębów.
Bezpieczeństwo promieniowania i przeciwwskazania
Zdjęcie panoramiczne zębów to badanie bezpieczne, o bardzo niskiej dawce promieniowania. Jest ona porównywalna do tej, jaką otrzymujemy podczas kilkugodzinnego lotu samolotem. Mimo to zawsze warto poinformować lekarza o ciąży, planowanym macierzyństwie czy wcześniejszej ekspozycji na promienie rentgenowskie. W przypadku kobiet w ciąży OPG wykonuje się tylko w sytuacjach pilnych i z zastosowaniem ochronnego fartucha ołowianego.
U dzieci pantomogram wykonuje się wtedy, gdy istnieją ku temu wyraźne wskazania – np. w ocenie uzębienia mieszanego, podejrzeniu braku zawiązków zębów stałych czy przy planowaniu leczenia ortodontycznego. Dla bezpieczeństwa lekarz zawsze ocenia, czy zdjęcie panoramiczne zębów jest w danym momencie konieczne, czy wystarczy badanie punktowe.
Rejestracja – umów się na OPG w Rudzie Śląskiej z możliwością konsultacji tego samego dnia
W Rudzie Śląskiej zdjęcie panoramiczne zębów można wykonać w HalembaDent, gdzie badanie i konsultacja odbywają się tego samego dnia. To praktyczne rozwiązanie, szczególnie gdy pacjent odczuwa ból lub potrzebuje szybkiej diagnostyki przed zabiegiem. Jak to u nas wygląda?
- Przygotowanie
Przed wejściem do gabinetu zdejmij biżuterię, okulary i ruchome protezy. Poinformuj technika o ewentualnej ciąży, rozruszniku serca lub metalowych implantach. - Badanie
Stoisz nieruchomo około 10–15 sekund, w tym czasie ramię aparatu obraca się wokół głowy. To bezbolesne i szybkie. - Wynik
Zdjęcie panoramiczne zębów dostępne jest od razu w formie cyfrowej lub wydruku. - Omówienie
Dentysta analizuje zdjęcie, pokazuje zmiany i przedstawia plan leczenia. W razie potrzeby zleca CBCT, jeśli trzeba dokładnie ocenić kanały, korzenie lub bliskość nerwów. - Dalsze kroki
Na podstawie OPG lekarz może skierować na leczenie zachowawcze, chirurgiczne lub ortodontyczne. Dzięki temu cały proces diagnostyczny zamyka się w jednej wizycie.
Faq
OPG a punktowe RTG – co wybrać przy ostrym bólu siódemki?
Jeśli ból jest zlokalizowany i dotyczy jednego zęba, lepsze będzie punktowe RTG, które pokazuje szczegóły pojedynczego korzenia i kanałów. Natomiast zdjęcie panoramiczne zębów warto zrobić, gdy ból nawraca, obejmuje kilka zębów albo źródło nie jest oczywiste.
Jak często wykonywać pantomogram OPG w profilaktyce?
U dorosłych zaleca się co 2 lata, chyba że lekarz zaleci częściej – np. przy chorobach przyzębia, po leczeniu kanałowym lub przed planowanymi zabiegami. U dzieci i młodzieży częstotliwość zależy od etapu wzrostu i wskazań ortodontycznych.
RTG zębów a ciąża – jakie są bezpieczne alternatywy?
Jeśli to możliwe, badanie RTG odkłada się do momentu zakończenia ciąży. W pilnych przypadkach stosuje się punktowe RTG z pełną ochroną. Zdjęcie panoramiczne zębów wykonuje się tylko wtedy, gdy opóźnienie diagnozy może zagrozić zdrowiu matki.
Gdzie w Rudzie Śląskiej zrobić CBCT i kiedy faktycznie jest konieczne?
CBCT można wykonać w tej samej placówce – HalembaDent oferuje nowoczesny tomograf. Warto je zrobić przed implantacją, trudnym leczeniem kanałowym lub operacyjnym usunięciem ósemek. W pozostałych przypadkach wystarczyć powinno standardowe zdjęcie panoramiczne zębów.


